Cabinet d'orthodontie du Dr CAVEZ
Spécialiste Qualifié en Orthopédie Dento-Faciale
Cabinet d'orthodontie du Dr CAVEZ
Spécialiste Qualifié en Orthopédie Dento-Faciale

6 rue Charles de Gaulle 91400 ORSAY

+33 9 52 02 28 61

Vidéos 3D - Page 7

Comblement osseux après une extraction dentaire

Comblement osseux après une extraction dentaire

Comblement de sinus par abord latéral sans pose d’implant

Comblement de sinus par abord latéral sans pose d’implant

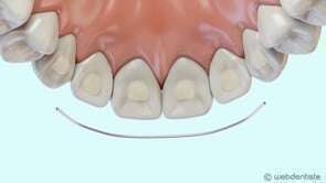
Fil de contention

Fil de contention

Conséquence de la perte des dents postérieures

Conséquence de la perte des dents postérieures

Affichage des articles 37-40 sur 40