Cabinet d'orthodontie du Dr CAVEZ
Spécialiste Qualifié en Orthopédie Dento-Faciale
ACCUEIL
LE CABINET
PLAN
URGENCES
FICHES CONSEILS
VIDÉOS
PRISE DE RDV
Contact
ACCUEIL
LE CABINET
PLAN
URGENCES
FICHES CONSEILS
VIDÉOS
PRISE DE RDV
Contact
Cabinet d'orthodontie du Dr CAVEZ
Spécialiste Qualifié en Orthopédie Dento-Faciale
6 rue Charles de Gaulle 91400 ORSAY
+33 9 52 02 28 61
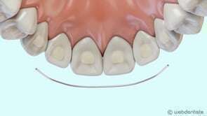
Fil de contention
Vidéos 3D
Partager
Twitter
Partager
Partager
Envoyer
Copier
Cabinet d'orthodontie du Dr CAVEZ
6 rue Charles de Gaulle
91400
ORSAY
+33 9 52 02 28 61
En savoir +
Politique de confidentialité et charte cookie
Mentions légales
Conditions Générales Utilisation
Charte déontologique
Ordre national
Annuaires chirurgiens dentistes
Nos conseils
ORTHODONTIE ET HYGIÈNE BUCCO-DENTAIRE
POSTURE ET ORTHODONTIE
MASTICATION ET ORTHODONTIE
RESPIRATION ET ORTHODONTIE
LES TRAITEMENTS DE 12 À 16 ANS
LES TRAITEMENTS DE 4 À 11 ANS
Accéder au cabinet
Création par
Connexion